Braces
Teeth Alignment with Braces in Nairobi
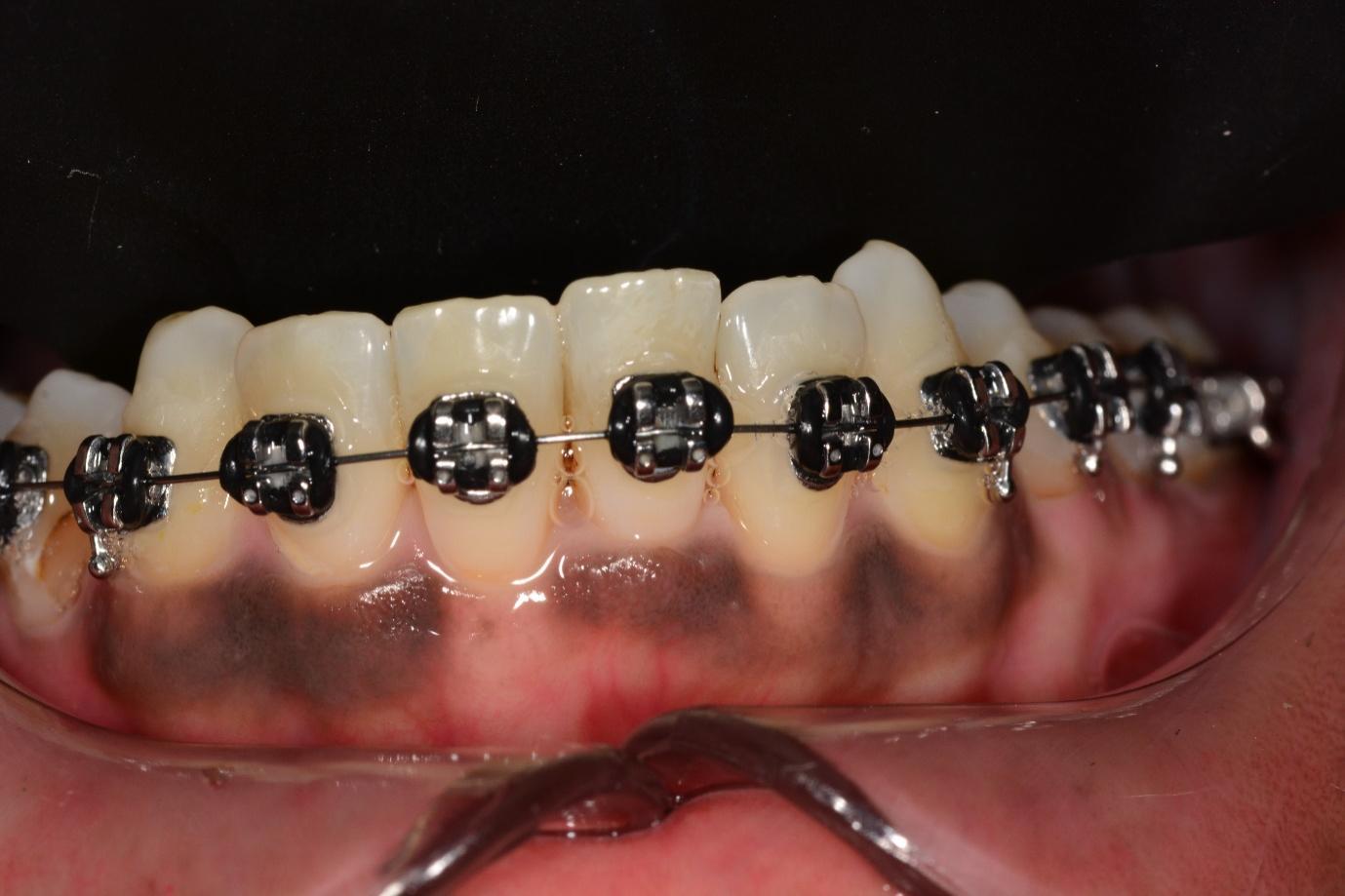
Braces are an orthodontic appliance that are ideal for correcting dental irregularities and enhancing appearance. Our dental clinic in Nairobi provides orthodontic care for teeth straightening, to help you achieve a healthy, beautiful smile.
Do I Need Braces?
- Crooked or tilted teeth that affect your smile’s appearance
- Crowded teeth, making oral hygiene challenging
- Gaps and spaces between teeth, leading to food trapping and plaque buildup
- Bite issues like overbite, underbite, or crossbite, causing jaw discomfort
- Discomfort and pain associated with improper dental alignment
Braces Aligning Misaligned Teeth
Straighten Your Teeth and Smile with Braces
Have a cracked or misaligned teeth affecting your appearance and dental function? Braces are a good cosmetic option for straightening misaligned teeth, improving appearance of your smile, confidence and oral health.
At Enamel Elegance, we have a team of compassionate orthodontists in Nairobi ready to help you straighten your teeth with braces. Contact us today and let us reclaim your smile with elegance!
ImproveD appearance and smile aesthetics
EnhanceD ability to chew and speak efficiently
Boost your self-confidence
