Crowns and Bridges
Teeth Replacement with Crowns and Bridges in Nairobi
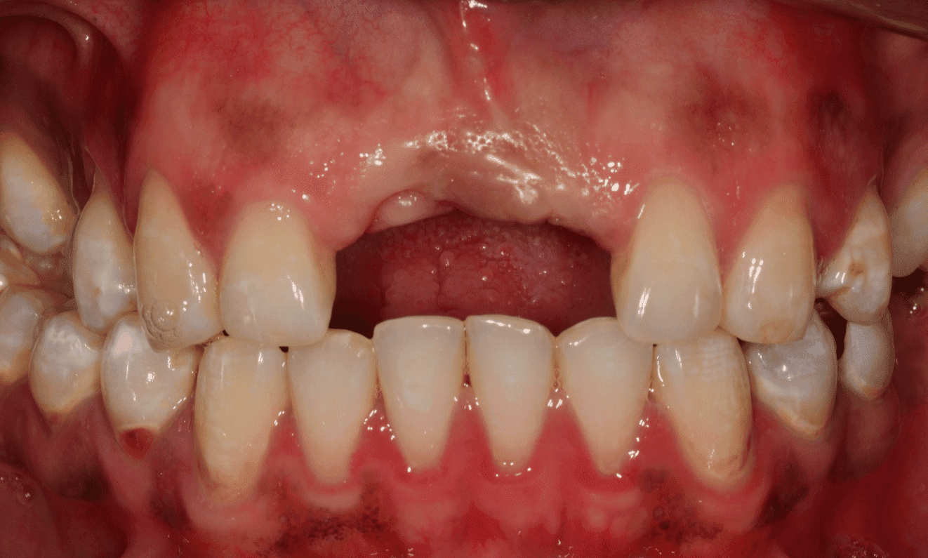
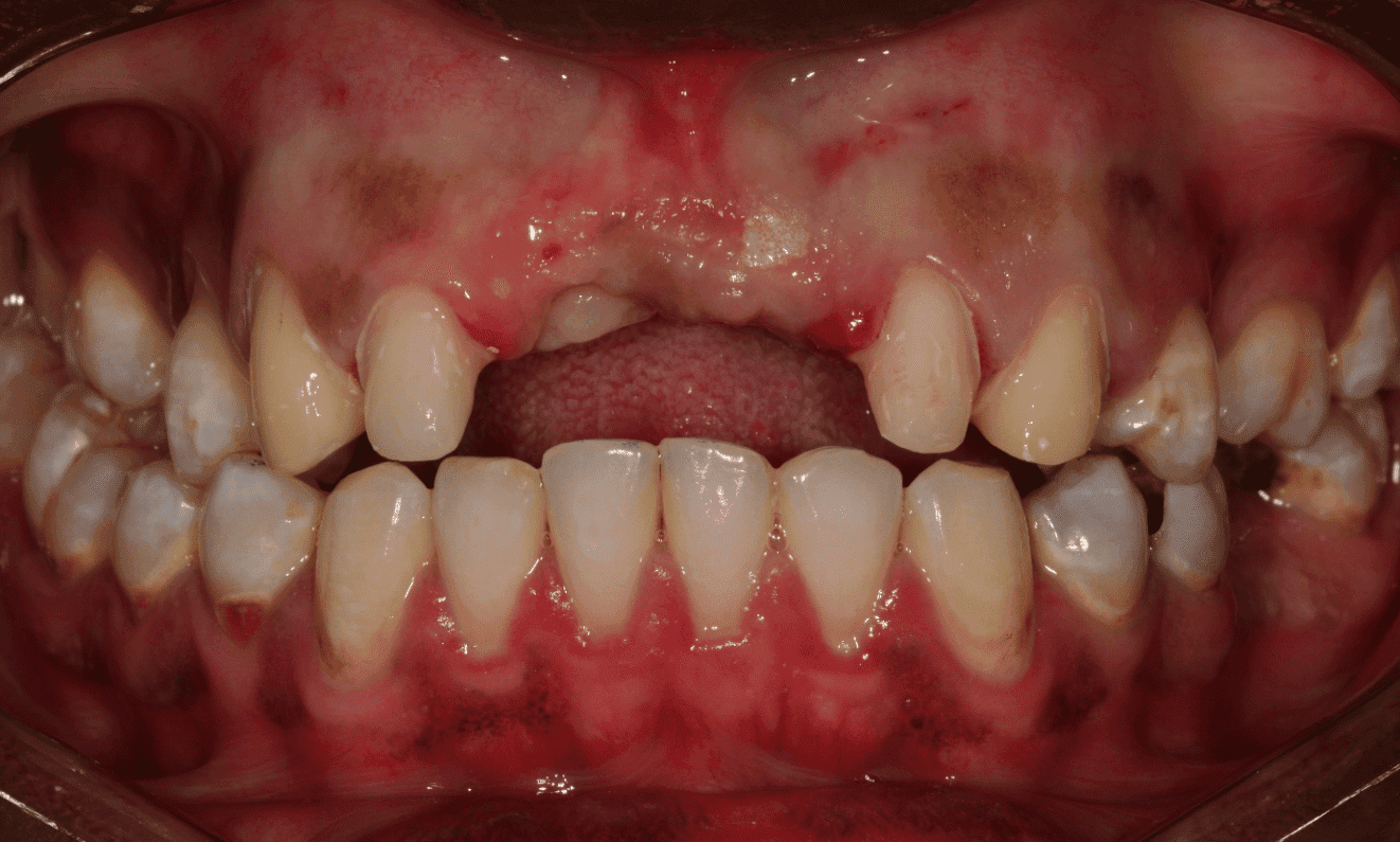
Damaged or missing teeth can have a big impact on your oral health, appearance, and overall quality of life. Whether you’re dealing with a cracked, decayed, or missing tooth, the consequences can be far-reaching – from difficulty chewing and speaking to a loss of confidence in your smile.
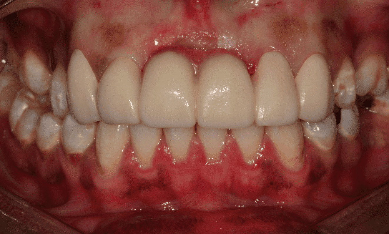
At our dental clinic in Nairobi, we offer top-quality crowns and bridges, a durable restorative and natural-looking solution for damaged teeth. With our expertise and cutting-edge technology, we can help you restore your teeth, smile and beauty, giving you the confidence to take on the world.
Do I Need Crowns and Bridges?
- Severely damaged or decayed teeth that can’t be restored with a filling
- Teeth that have undergone root canal treatment
- Missing teeth that need to be replaced for optimal oral health and function
- Cosmetic concerns, such as discolored or misshapen teeth
Crowns and Bridges Procedure
The process begins with a thorough examination and treatment plan tailored to your unique needs. We’ll then prepare your teeth, take impressions, and create your custom-designed restorations, ensuring a good fit and a seamless, natural-looking result.
Replace Missing Teeth with Crowns and Bridges in Nairobi
Take the first step towards a healthier, more confident smile with Enamel Elegance. Our commitment to precision and aesthetics ensures natural-looking, long-lasting results. Contact us today and let us crown your teeth and smile with elegance!
FAQs
What is a crown?
When do I need a crown?
Dental crowns help to improve aesthetics and also improve the strength of teeth to avoid any fractures that would otherwise compromise the teeth.
What are crowns made of?
What are bridges?
How do bridges work?
The teeth on both sides of the gap are prepared to get crowns . These crowns are connected to the missing tooth/teeth thus offering support.
