Dental Implants
Replace missing teeth with dental implants in Nairobi, a reliable and long-lasting solution, allowing you to regain the oral function and natural-looking aesthetics you deserve.
Teeth Replacement with Dental Implants
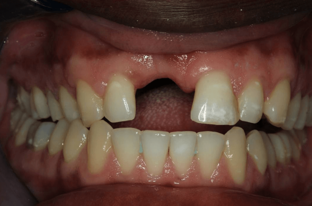
Missing teeth can have a significant impact on your oral health, appearance, and overall quality of life. Whether you’ve lost teeth due to injury, disease, or genetics, the consequences can be far-reaching – from difficulty chewing and speaking to a loss of confidence in your smile.
At Enamel Elegance, we understand the importance of a complete, healthy smile. That’s why we offer top-quality dental implants at our dental clinic in Nairobi as a reliable and long-lasting solution for replacing missing teeth. With our expertise and cutting-edge technology, we can help you regain the function, comfort, and aesthetics you deserve, restoring your smile to its former glory.
Do I Need Dental Implants?
- If you have missing teeth due to decay, injury, or periodontal disease and looking for a permanent, natural-looking solution
- Compromised or failing dental work, such as bridges or dentures, which might feel uncomfortable and restrict your diet
- To replace a single tooth or several teeth without affecting adjacent ones
- Desire to avoid the hassle and limitations of removable tooth replacements
Dental Implant Procedure
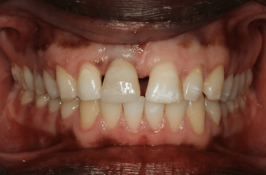
The dental implant process begins with a minor oral surgical procedure to place the titanium implant into the jawbone. After a period of healing and integration, we’ll custom-design and attach your new, natural-looking tooth crown, restoring your oral function and smile.
Replace Missing Teeth, Regain Your Oral Health
Don’t let missing teeth impact your daily life and oral health any longer. Dental implants are a permanent restorative solution, replacing missing teeth and restoring your ability to smile, chew, and speak with ease. At Enamel Elegance, our restorative dentists in Nairobi are dedicated to helping you regain your teeth, dental health and get back to living life to the fullest.
Take the first step towards a more functional and healthy smile. Contact our dental clinic today, and let us show you the life-changing benefits of dental implants.
FAQs
What is a dental implant?
What is a dental implant made of?
How is a dental implant placed?
What should I expect after I get a dental implant?
Ater the tooth replacement is placed on the dental implant it functions just like your natural tooth. Most people who are missing teeth can successfully have implants placed to replace the missing teeth.
