Dentures
What are Dentures?
Dentures are removable dental appliances that replace missing teeth and surrounding tissue. They are designed to look and function like your natural teeth, restoring your ability to eat, speak, and smile with confidence.
Created from durable materials like acrylic resin or porcelain, dentures are custom-made to fit your mouth comfortably and securely. Whether you need to replace a few teeth or an entire arch, modern dentures offer a natural-looking and functional solution. With proper care and maintenance, dentures can last for several years, allowing you to enjoy all the benefits of a beautiful, healthy smile.
Types of Dentures
Complete dentures
A full denture will be fitted if all your upper or lower teeth need to be removed or you’re having an old complete denture replaced.
The denture will usually be fitted as soon as your teeth are removed, which means you won’t be without teeth. The denture will fit snugly over your gums and jawbone.
Partial Dentures
It usually clips onto some of your natural teeth via metal clasps, which hold it securely in place in your mouth. It can easily be unclipped and removed.
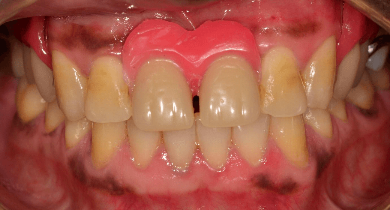
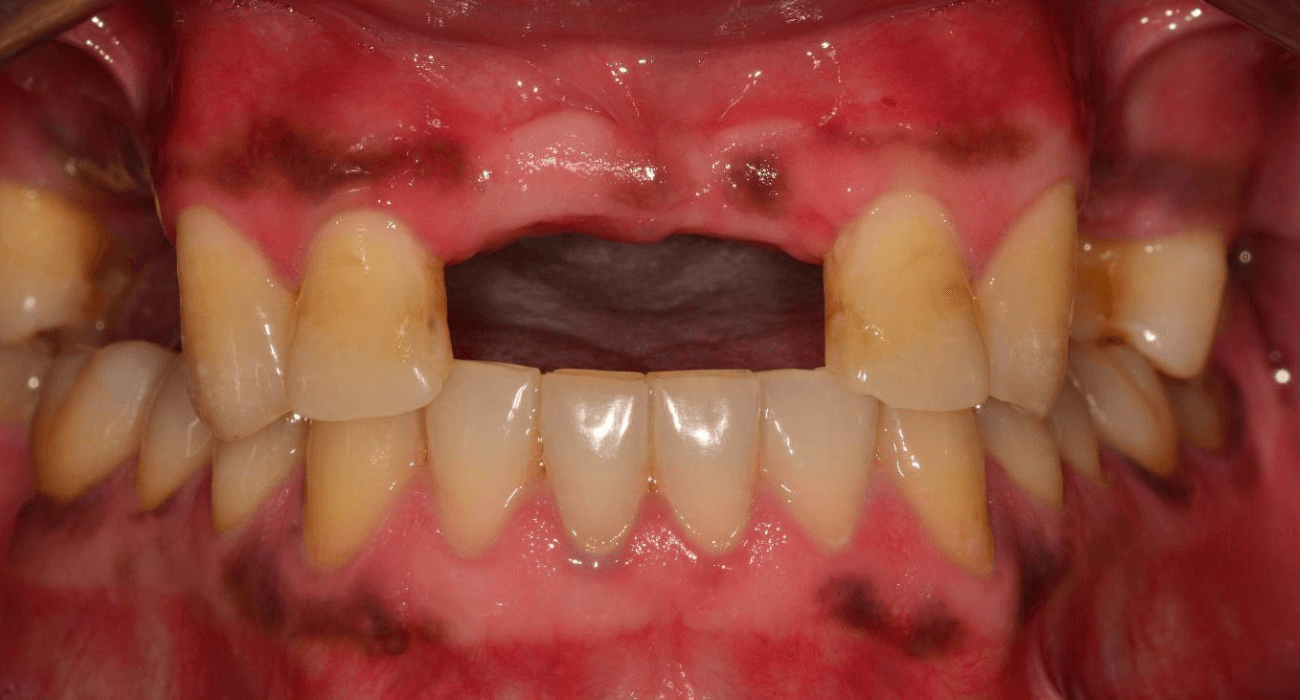
See the Difference Dentures Can Make
Restore Your Smile and Teeth with Dentures
Dentures are more than just replacement teeth – they’re a gateway to regaining your confidence, enjoying your favorite foods without limitations, and communicating clearly with a natural-looking smile. Contact us today and let us reclaim your missing teeth with elegance!
Eat any food comfortably
FAQs
Your questions on dentures answered.
What are dentures?
Are all dentures the same?
No. There may be partial or complete depending on the number of teeth they are replacing. If they replace all the teeth, they are called complete dentures. If they replace only some teeth, they ae called partial dentures.
The base of the dentures could also be made of different types of materials i.e, acrylic or metal
How do dentures function?
Do I need to remove my dentures?
It is also recommended that you remove your dentures to clean them and the oral cavity independently.
