Fillings
Restore your smile’s strength and beauty with our state-of-the-art tooth-colored fillings in Nairobi, delivering long-lasting results and a natural, confident appearance
Tooth Fillings
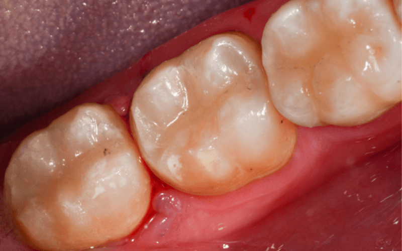
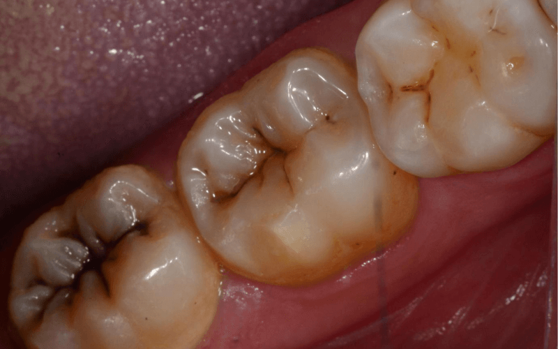
At Enamel Elegance, we believe that dental fillings should not only restore the integrity of your teeth but also complement the natural beauty of your smile. That’s why we offer tooth-colored fillings, a modern and aesthetically pleasing solution for treating cavities, cracks, or other tooth damage. Our tooth-colored fillings are crafted from high-quality composite resin materials that blend seamlessly with your natural tooth color. They are also designed for longevity and durability.
Whether you’re seeking to restore a single tooth or multiple areas of concern, our tooth-colored fillings offer a comprehensive solution that combines functionality, aesthetics, and lasting results.
When Are Tooth Fillings Necessary
- Traumatic incidents like sports-related impacts or accidents can lead to cracked or chipped teeth
- Poor dietary choices, such as excessive consumption of sugary beverages or sweets, can promote tooth decay
- Inherent tooth defects or predispositions, whether due to genetics or poor nutrition
Journey to a Restored Smile
Reclaim Your Confident Smile with Tooth-Colored Fillings
FAQs
Why would I need to get a filling?
What types of tooth fillings are available?
The clinician may recommend the prefered type on a case to case basis.
