Wisdom Teeth Removal
Bid farewell to discomfort from impacted third molars with our wisdom teeth removal service in Nairobi, ensuring a comfortable and efficient solution for a pain-free, radiant smile.
Wisdom Tooth Removal in Nairobi
Your wisdom teeth, also known as third molars, are the last set of teeth to emerge, typically during early adulthood. However, these teeth often lack sufficient space to erupt properly, leading to impaction – a condition where they become trapped beneath the gum line or adjacent teeth. At Enamel Elegance, our skilled oral surgeons specialize in the safe and effective removal of impacted wisdom teeth, alleviating discomfort and preventing potential complications.
Our experienced team carefully evaluates each case through dental X-rays, studying the root shape and position to plan the optimal approach.
Do I Need Wisdom Tooth Removal?
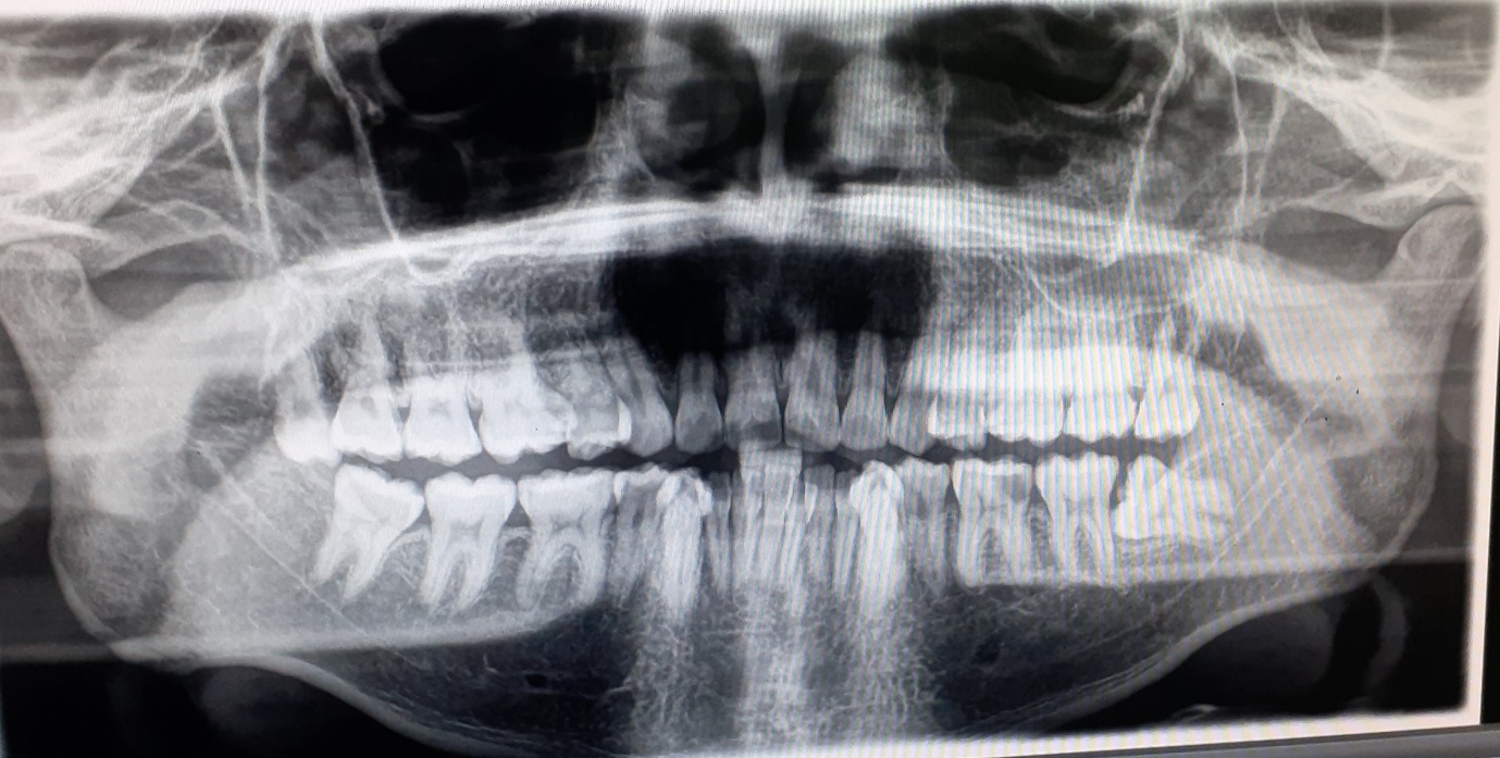
Impacted Lower Left Third Molar
Wisdom tooth removal, or impacted third molar disimpaction, may be necessary to address impacted teeth and prevent potential complications if you have:
- Pain in or near your wisdom teeth.
- Repeated infection of soft tissue behind the lower last tooth.
- Fluid-filled sacs called cysts.
- Tumors.
- Damage to nearby teeth.
- Gum disease.
- Widespread tooth decay
From Impaction to Restoration
The transformative disimpaction process, from the initial consultation and X-ray evaluation to the precise surgical removal of impacted wisdom teeth, ensuring a comfortable and efficient procedure. This ensures a fully restored, pain-free smile, empowering you to embrace optimal oral health and well-being.
Impacted Third Molar
Illustration of Impacted Wisdom Teeth
Extracted Third Molar
Get Pain Relief and Restore Your Smile with Wisdom Teeth Removal
Don’t let impacted wisdom teeth compromise your oral health and well-being. Our impacted third molar disimpaction procedure offer a safe and effective solution, tailored to your unique needs. Trust our skilled oral surgeons in Nairobi to provide you with compassionate care, utilizing the latest techniques to ensure a smooth and successful procedure, restoring your smile’s radiance and comfort.
Relief from persistent pain and swelling
Prevention of dental decay and potential infections
Preservation of adjacent teeth and optimal jaw alignment
Improved oral health and overall well-being
Personalized care and expertise
FAQs
Your questions on wisdom teeth removal in Kenya answered.
What are wisdom teeth?
The third human molars, often called the wisdom teeth since they erupt as an individual enters adulthood, are the last teeth to erupt into the mouth.
Why would I need to remove my wisdom teeth?
These teeth often lack space and may be blocked out and fail to erupt into their right position. When this happens, they are referred to as impacted teeth.
Why are impacted wisdom teeth removed?
When the wisdom teeth are impacted one may experience symptoms like food packing, gum swelling, pain and/or sensitivity, it is recommended that they be removed.
The procedure of removing impacted teeth is called Disimpaction.
The procedure of removing impacted teeth is called Disimpaction.
What happens during a disimpaction?
It is a minor oral surgical procedure that can be done on the dental chair or in theatre(the clinician will often recommend either option on case to case basis)
A dental x-ray to study the root shape and position is done so as to guide the clinician. This helps to avoid damage of these nerves while doing the surgical removal of an impacted tooth.
A dental x-ray to study the root shape and position is done so as to guide the clinician. This helps to avoid damage of these nerves while doing the surgical removal of an impacted tooth.
What would happen if I opted to keep an impacted tooth?
Most often impacted wisdom teeth develop decay and cause a lot of pain necessitating eventual disimpaction. They may also cause decay to develop on the tooth next to it as this area is normally inaccessible. This may necessitate more extensive treatment and sometimes loss of more than one tooth.
Additionally, when a lower wisdom tooth is removed the opposing upper molar might also be removed. This is because the absence of the lower tooth leads to continued eruption of its upper opponent, which can cause cheek biting while also predisposing the adjacent tooth to decay.
Additionally, when a lower wisdom tooth is removed the opposing upper molar might also be removed. This is because the absence of the lower tooth leads to continued eruption of its upper opponent, which can cause cheek biting while also predisposing the adjacent tooth to decay.
